Ewing Sarkom
21.03.2025
EWİNG SARKOM TANI VE TEDAVİSİ


Ewing Sarkomu genellikle çocukluk ve ergenlik döneminde ortaya çıkan agresif bir kanser türüdür. Genelde uzun kemiklerde özellikle bacaklarda ve kollarda görülür, ancak göğüs kafesi, omurga ve pelvis gibi diğer kemiklerde de oluşabilir. Ewing Sarkomu'nun en belirgin özelliklerinden biri kemik dışı dokularda da gelişebilmesidir. Bu kanser tipinin tedavisi genellikle cerrahi müdahale, kemoterapi ve radyoterapinin bir kombinasyonunu içerir. Erken teşhis hastalığın yayılmasını önleyebilir ve tedavi şansını artırabilir. Ewing Sarkomu nadir görülen bir kanser türü olmasına rağmen, çocukluk çağı kanserleri arasında önemli bir yer tutar ve agresif doğası nedeniyle hızlı müdahale ve etkili bir tedavi planı gerektirir.
RİSK FAKTÖRLERİ NELERDİR?
Ewing Sarkomu için spesifik risk faktörleri tam olarak belirlenemese de, bu kanser türünün gelişiminde etkili olabilecek bazı faktörler saptanmıştır:
Yaş ve Cinsiyet: Ewing Sarkomu genellikle çocukluk ve genç yetişkinlik döneminde görülür ve erkeklerde kadınlara göre biraz daha yaygındır.
Etnik Köken: Bu kanser türü, Kafkasyalı (beyaz tenli) kişilerde diğer etnik gruplara göre daha sık görülür. Afrika ve Asya kökenli kişilerde daha az yaygındır.
Genetik Faktörler: Ewing Sarkomunun gelişiminde genetik mutasyonlar ve kromozomal değişiklikler (örneğin, t(11;22) translokasyonu) rol oynayabilir. Ancak bu kanser çoğunlukla aile geçmişi olmayan kişilerde ortaya çıkar.
Radyasyon Maruziyeti: Önceden yüksek dozda radyasyon tedavisi görmüş kişilerde Ewing Sarkomu riski artabilir.
Genetik Hastalıklar: Bazı nadir genetik hastalıklar, Ewing Sarkomu riskini artırabilir ancak bu ilişki tam olarak anlaşılamamıştır.
Bu risk faktörlerinin varlığı mutlaka Ewing Sarkomu gelişeceği anlamına gelmez. Çoğu Ewing Sarkomu vakası, belirgin bir risk faktörü olmaksızın ortaya çıkar. Bu yüzden risk faktörlerinin varlığı veya yokluğu, hastalığın teşhisi veya tedavisi için tek başına yeterli bir gösterge değildir. Herhangi bir belirti veya endişe durumunda, en doğru bilgi ve yönlendirme için bir hekime danışmak önemlidir.
Resim 1. Ewing sarkomu genellikle çocukluk ve ergenlik döneminde ortaya çıkan agresif bir kanser türüdür.


NASIL OLUŞUR ?
Ewing Sarkomunun gelişim mekanizmaları karmaşık ve tam olarak anlaşılmamış olmasına rağmen, genetik mutasyonların bu kanser türünün oluşumunda önemli bir rol oynadığı bilinmektedir. Ewing Sarkomu vakalarının büyük çoğunluğunda, belirli kromozomlar arasında translokasyon adı verilen bir genetik değişiklik meydana gelir. En sık rastlanan translokasyon, 11. ve 22. kromozomlar arasında olur. Bu translokasyon sonucunda, EWSR1 geni ve FLI1 geni birleşerek anormal bir füzyon geni (EWS-FLI1) oluşturur. Bu füzyon geni hücre büyümesini ve bölünmesini kontrol eden çeşitli yolları etkileyerek, hücrelerin kontrolsüz şekilde çoğalmasına ve kanserli tümörlere dönüşmesine yol açar. Ayrıca bu genetik değişiklikler, hücrenin farklılaşmasını (oluşmasını) ve apoptozis (programlanmış hücre ölümü) mekanizmalarını bozabilir, bu da hücrelerin anormal olarak hayatta kalmasına ve çoğalmasına neden olur. Bu genetik ve moleküler olayların yanı sıra Ewing Sarkomunun gelişimine katkıda bulunan diğer faktörler ve mekanizmalar üzerine araştırmalar devam etmektedir.
BELİRTİLERİ NELERDİR ?
Ewing Sarkomunun belirtileri ve bulguları genellikle kanserin yerleştiği bölgeye bağlı olarak değişiklik gösterir, ancak bazı yaygın belirtiler şunlardır:
Ağrı ve Hassasiyet: Kanserli kemik bölgesinde ağrı ve hassasiyet en yaygın belirtilerdendir. Ağrı genellikle gece sürekli hale geleblir ve şiddetlenme eğilimindedir.
Şişlik ve Kızarıklık: Tümörün bulunduğu bölgede şişlik ve/veya kızarıklık görülebilir. Bu şişlik bazen dokunulduğunda sıcak hissedilebilir.
Ateş ve Halsizlik: Ewing Sarkomu olan bazı hastalarda hafif ateş ve genel bir halsizlik hali görülebilir.
Kemik Kırıkları: Etkilenen kemik bölgesi zayıfladığı için normalden daha kolay kırılabilir.
Hareket Kısıtlılığı: Tümör eklemlerin yakınında bulunuyorsa hareket kısıtlılığına yol açabilir.
Kilo Kaybı ve İştahsızlık: Genel sağlık durumunun bozulmasıyla ilişkili olarak kilo kaybı ve iştahsızlık görülebilir.
Nörolojik Belirtiler: Eğer tümör omurgaya yakın bir yerdeyse sinirlere baskı yaparak nörolojik belirtilere neden olabilir.
Bu belirtilerin her biri başka sağlık sorunlarına da işaret edebilir, bu yüzden bu tür belirtiler fark edildiğinde bir hekime başvurmak önemlidir. Ewing Sarkomu gibi ciddi bir durumun erken teşhisi tedavi başarısını önemli ölçüde artırabilir.
TANISI NASIL KONULUR?
Ewing Sarkomunun tanısı tipik olarak bir dizi adım içerir ve çoğu zaman zorlayıcı olabilir çünkü belirtileri diğer daha yaygın kemik bozukluklarına benzer. İlk olarak hastanın tıbbi öyküsü ve fiziksel muayenesi yapılır. Semptomların ve belirtilerin detaylı bir değerlendirilmesi sonrasında, görüntüleme testleri uygulanır. Bu testler genellikle X-ray, manyetik rezonans görüntüleme (MRI) ve bilgisayarlı tomografi (CT) taramalarını içerir ve tümörün yerini, boyutunu ve etkilediği dokuları belirlemeye yardımcı olur. Ewing Sarkomu şüphesi durumunda kesin tanı genellikle biyopsi ile yapılır. Biyopsi sırasında tümörden küçük bir doku örneği alınır ve mikroskop altında incelenir. Bu inceleme kanserin tipini ve karakteristiklerini belirlemek için gereklidir. Ek olarak tümörün yayılımını belirlemek için kemik taraması veya pozitron emisyon tomografisi (PET) gibi diğer testler de yapılabilir. Genetik testler özellikle Ewing Sarkomu için tipik olan kromozomal translokasyonların varlığını belirlemek amacıyla kullanılabilir. Bu kapsamlı değerlendirme süreci, doğru tanı koymak ve uygun tedavi planını belirlemek için kritik öneme sahiptir.
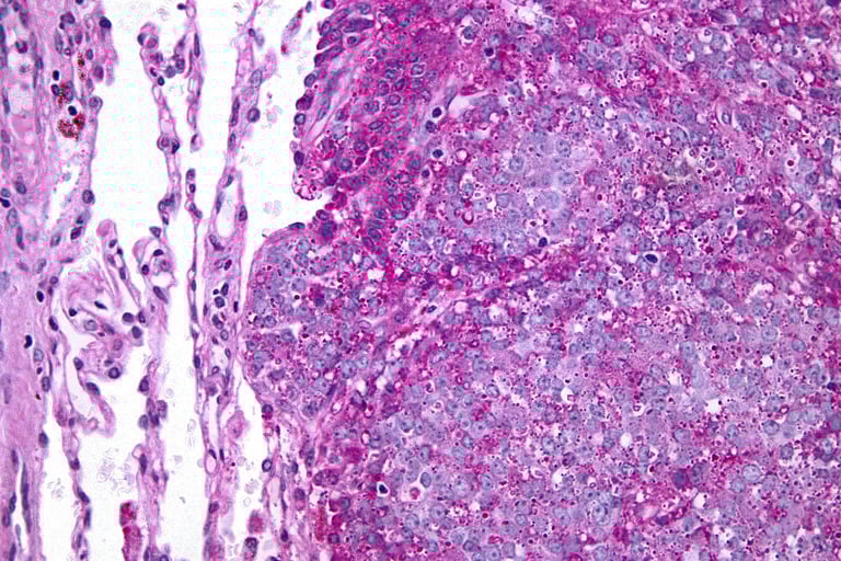
PATOLOJİK TİPLERİ NELERDİR?
Ewing Sarkomu, Ewing Sarkom Ailesi Tümörleri (ESFT) olarak bilinen bir grup kanser türünün parçasıdır. Bu grup içindeki patolojik tipler, hücre tipi ve tümörün mikroskobik özelliklerine göre ayrılır. Ewing Sarkomu ailesinin içindeki başlıca patolojik tipler şunlardır:
Klasik Ewing Sarkomu: En yaygın görülen türdür. Mikroskop altında küçük, yuvarlak, mavi hücreler şeklinde karakterize edilir. Bu hücreler genellikle yoğun bir şekilde düzenlenmiştir ve spesifik translokasyonlar içerirler.
Atipik Ewing Sarkomu: Klasik Ewing Sarkomundan farklı olarak, bu türde hücreler daha büyük ve daha az yoğun düzenlenmiş olabilir. Atipik özellikler taşıyan bu tümörler klasik tipten farklı bir davranış sergileyebilir.
Ewing Sarkomu/PNET (Primitif Nöroektodermal Tümör): Bu tür Ewing Sarkomunun bir varyantı olarak kabul edilir ve benzer genetik özellikler taşır. Ancak, PNET'ler, sinir hücrelerine benzer özellikler gösterir ve nöroektodermal farklılaşma belirtileri içerebilir.
Ekstraskeletal Ewing Sarkomu: Bu tür kemik dışı dokularda gelişir. Ekstraskeletal Ewing Sarkomu, yumuşak dokulara yerleşen ve genellikle klasik Ewing Sarkomu ile benzer histolojik özellikler gösteren bir tümördür.
Bu patolojik tiplerin her biri, mikroskop altında incelemeler ve genetik testler ile belirlenir. Tedavi planlaması ve prognoz (hastalığın gidişatı tahmini) için tümörün patolojik tipinin belirlenmesi önemlidir. Her tür benzer tedavi yaklaşımlarını gerektirse de bazı durumlarda farklı tedavi stratejileri gerekebilir. Bu nedenle, Ewing Sarkomunun patolojik tipinin doğru bir şekilde tanımlanması, hastanın tedavi sürecinde kritik bir rol oynar. Ewing Sarkomunun tanı ve tedavisinde, tümör hücrelerinde bulunan çeşitli reseptörler ve moleküler markırların incelenmesi büyük önem taşır. Bu kanser türünde, özellikle genetik ve moleküler düzeyde ön plana çıkan bazı kilit reseptörler ve proteinler şunlardır: CD99 genellikle Ewing Sarkom hücrelerinde yüksek düzeyde ifade edilen bir yüzey proteinidir ve bu tümörün tanımlanmasında ana belirteçlerden biri olarak kabul edilir. EWS-FLI1 Füzyon Proteini, çoğu Ewing Sarkomunda bulunan ve kromozomal translokasyonun sonucunda oluşan önemli bir moleküler hedeftir. IGF-1 Reseptörü (İnsulin-like Growth Factor 1), tümörün büyümesi ve yayılmasıyla ilişkili olduğu düşünülen başka bir kritik moleküler hedeftir. VEGF (Vasküler Endotelyal Büyüme Faktörü), tümör hücrelerinin yeni kan damarları oluşturarak beslenmesine ve büyümesine yardımcı olan bir faktördür ve VEGF'e yönelik tedaviler, tümörün kan akışını azaltmayı ve böylece büyümesini sınırlamayı hedefler. NKX2.2 ise, EWS-FLI1 füzyon proteininin düzenlediği genlerden biri olup, bazı Ewing Sarkomlarında yüksek düzeyde bulunur ve potansiyel bir tedavi hedefi olarak görülür.
Resim 2. Ewing sarkomu tanısı patolojik inceleme ile konulur ve EWS-FLI1 füzyonu sıklıkla saptanır.


TÜMÖR EVRELEMESİ NASIL YAPILIR ?
Ewing Sarkomunda tümör evrelemesi, hastalığın yaygınlığını ve vücuttaki yerleşimini belirlemek için yapılan kapsamlı bir değerlendirme sürecidir. Bu süreç hastalığın boyutu, tümörün başlangıç noktasından yayılımı ve metastaz (kanserin diğer organlara sıçraması) varlığı gibi faktörleri dikkate alır. Evreleme tedavi planlaması ve prognoz (hastalığın gidişatı hakkında tahmin) için hayati öneme sahiptir. Ewing Sarkomunda tümör evrelemesi yapılırken izlenen adımlar:
Görüntüleme Testleri: Tümörün boyutunu, yerini ve etrafındaki dokulara yayılıp yayılmadığını belirlemek için çeşitli görüntüleme testleri kullanılır. Bunlar arasında X-ray, manyetik rezonans görüntüleme (MRI), bilgisayarlı tomografi (CT) ve pozitron emisyon tomografisi (PET) taramaları bulunur.
Biyopsi: Tümörden doku örneği alınarak mikroskop altında incelenir. Bu tümörün tipini ve bazen evresini belirlemek için gereklidir.
Kemik Taraması: Vücudun diğer kemiklerine kanserin yayılıp yayılmadığını belirlemek için genellikle bir kemik taraması yapılır.
Laboratuvar Testleri: Kan ve idrar testleri gibi laboratuvar testleri, genel sağlık durumunu değerlendirmek ve bazı tümör belirteçlerini tespit etmek için kullanılır.
Ewing Sarkomu genellikle dört ana evreye ayrılır:
Evre I: Ewing sarkomu için kullanılmaz. Bunun nedeni tüm Ewing sarkomlarının yüksek dereceli (G2 veya 3) olmasıdır. Aşama I diğer kemik kanseri türleri için kullanılır.
Evre II: İki gruba ayrılır.
Evre IIA. Tümörün çapı 8 cm'yi geçmez ve yüksek derecelidir. Kanser yakındaki lenf düğümlerine veya vücudun diğer bölgelerindeki organlara yayılmamıştır.
Evre IIB. Tümör 8 cm'den büyüktür ve yüksek derecelidir. Kanser yakındaki lenf düğümlerine veya vücudun diğer bölgelerindeki organlara yayılmamıştır.
Evre III: Tümörün aynı kemikte birden fazla noktada olduğu ve yüksek dereceli olduğu anlamına gelir. Kanser yakındaki lenf düğümlerine veya vücudun diğer bölgelerindeki organlara yayılmamıştır.
Evre IV: İki gruba ayrılır.
Evre IVA: Kanser akciğerlere yayılmış ancak lenf düğümlerine veya vücudun diğer kısımlarındaki organlara yayılmamıştır. Herhangi bir boyut veya sınıfta olabilir.
Aşama IVB: Kanser yakındaki lenf düğümlerine yayıldı. Vücudun diğer bölgelerindeki organlara yayılmış olabilir veya olmayabilir. Herhangi bir boyut veya sınıfta olabilir.
Bu evreleme süreci her hastanın durumuna özel olarak uyarlanmış bir tedavi planı geliştirmek için temel bir rol oynar ve hastanın tedaviye yanıtını, sağ kalım oranlarını ve potansiyel tedavi seçeneklerini etkiler.
EVRELERE GÖRE TEDAVİ NASIL YAPILIR?
Ewing Sarkomunun tedavisi, kanserin evresine, hastanın yaşına, genel sağlık durumuna ve tümörün vücuttaki yerleşimine bağlı olarak değişiklik gösterir. Her evre için tedavi yaklaşımları farklılık gösterse de, genellikle bir kombinasyon tedavisi uygulanır.
Ewing Sarkomunun evrelerine göre genel tedavi yaklaşımları:
Evre 2 (Lokal Hastalık)
Kemoterapi: Tedavinin ilk aşaması genellikle tümörü küçültmek ve vücuttaki mikroskobik kanser hücrelerini öldürmek için kemoterapi kullanımıdır.
Cerrahi: Mümkün olduğunda tümörün tamamının cerrahi olarak çıkarılması hedeflenir. Cerrahi tümörün yerine bağlı olarak organ koruyucu operasyonlar şeklinde olabilir.
Radyoterapi: Cerrahi mümkün değilse veya tümör tamamen çıkarılmamışsa, radyoterapi uygulanabilir. Bazen cerrahi ile birlikte kullanılır.
Evre 3 (Lokal İleri Hastalık)
Kemoterapi: Evre 3'te de kemoterapi, tedavinin temelini oluşturur. Genellikle daha agresif bir kemoterapi rejimi uygulanabilir.
Cerrahi ve/veya Radyoterapi: Tümörün yayıldığı bölgelere göre cerrahi ve/veya radyoterapi kombinasyonları kullanılabilir.
Evre 4 (Metastatik Hastalık)
Kemoterapi: Evre 4'te de kemoterapi, tedavinin ana bileşenidir. Sistemik tedavi olarak, kanserin vücuttaki diğer bölgelere yayılımını kontrol altına almayı amaçlar.
Destekleyici Tedavi: Metastazın olduğu bölgelere yönelik ek tedaviler (örneğin, akciğer metastazları için radyoterapi) uygulanabilir.
Cerrahi ve Radyoterapi: Ana tümörün ve bazı metastatik lezyonların cerrahi ile çıkarılması ve/veya radyoterapi ile tedavisi mümkün olabilir.
Tüm Evrelerde Genel Yaklaşım
Destekleyici Bakım: Tedavi sırasında ve sonrasında hastanın yaşam kalitesini artırmak ve yan etkileri yönetmek için destekleyici bakım önemlidir.
Klinik Araştırmalar: Ewing Sarkomu tedavisi için yeni yöntemler üzerine yapılan klinik araştırmalara katılım bazı hastalar için bir seçenek olabilir.
Tedavi planı her hastanın benzersiz durumuna göre özelleştirilir ve multidisipliner bir ekip tarafından yürütülür. Bu ekip, tıbbi onkologlar, cerrahlar, radyasyon onkologları, patologlar, pediatrik uzmanlar ve diğer onkoloji hekimlerini içerebilir. Hastanın ve ailesinin tedavi sürecine katılımı ve karar verme süreçlerinde aktif rol alması, tedavi başarısını ve hastanın genel iyilik halini artırmada önemlidir.
Resim 3. Ewing sarkomu ağrı, kilo kaybı ve ateş gibi şikayetlere yol açabilir.


TEDAVİDE KULLANILAN SİSTEMİK İLAÇLAR NELERDİR?
Ewing Sarkom tedavisinde kullanılan çeşitli ilaçlar ve tedavi yöntemleri, kanserin yaygınlığına ve hastanın genel sağlık durumuna bağlı olarak değişiklik gösterebilir. İşte Ewing Sarkom tedavisinde kullanılan başlıca ilaçlar ve tedavi yöntemleri:
Kemoterapi İlaçları
Vinkristin: Ewing Sarkomu gibi kanser türlerinde sıkça kullanılan bir kemoterapi ilacıdır.
Doksorubisin: Geniş spektrumlu bir kemoterapi ajanı, Ewing Sarkomu tedavisinde yaygın olarak kullanılır.
Siklofosfamid: Kemik iliği baskılanmasını içeren yan etkilere sahip olabilir, ancak Ewing Sarkomunun tedavisinde etkili bir ilaçtır.
Etoposid: DNA sentezini inhibe ederek kanser hücrelerinin büyümesini durdurur.
İfosfamid: Genellikle tedavi kombinasyonlarında kullanılır ve özellikle metastatik hastalık için etkili olabilir.
Akıllı İlaç Tedavileri
Tirozin kinaz inhibitörü: Tümör hücrelerinin büyümesini ve çoğalmasını engeller. Örn: Regorafenib ve kabozantinib.
IGF-1 Reseptörü İnhibitörleri: Ewing Sarkom hücrelerinin büyümesinde rol oynayan IGF-1 reseptörlerini hedef alır.
mTOR İnhibitörleri: Hücre büyümesi ve proliferasyonunu düzenleyen mTOR yollarını hedef alır.
İmmünoterapi
Ewing Sarkom tedavisinde immünoterapinin kullanımı henüz yaygın değildir ve genellikle klinik araştırmaların bir parçası olarak değerlendirilir.
Bu tedavi seçenekleri Ewing Sarkomunun tedavisinde etkinliklerini artırmak için genellikle birlikte ve/veya ardışık olarak kullanılır. Her hasta için tedavi planı, onların spesifik durumlarına ve kanserin özelliklerine göre özelleştirilir. Ewing Sarkom tedavisindeki gelişmeler sürekli olarak klinik araştırmalar ve denemeler yoluyla ilerlemektedir. Bu nedenle hastaların ve hekimlerin en güncel tedavi seçenekleri ve klinik çalışmalar hakkında bilgi sahibi olmaları önemlidir.
İYİLEŞME SONRASI TAKIP NASIL YAPILMALIDIR ?
Ewing Sarkom tedavisi sonrası iyileşme döneminde, hastaların düzenli takip ve değerlendirme süreci büyük önem taşır. Bu süreç olası nükslerin (hastalığın yeniden ortaya çıkması) erken tespiti, tedavinin uzun vadeli yan etkilerinin yönetilmesi ve hastanın genel sağlık durumunun izlenmesi amacıyla yapılır. Genellikle tedavi tamamlandıktan sonra ilk birkaç yıl boyunca sık sık (örneğin, ilk yıl üç ayda bir, sonraki yıllarda altı ayda bir) doktor kontrolü önerilir. Bu kontrollerde fiziksel muayene, laboratuvar testleri ve görüntüleme testleri (örneğin, X-ray, MRI, CT) gibi yöntemler kullanılır. Bu süreçte hastanın ve ailesinin, herhangi bir yeni semptom veya endişe durumunda hemen doktorlarına başvurması önemlidir. Ayrıca tedavinin uzun vadeli yan etkilerine (örneğin, büyüme ve gelişme sorunları, ikincil kanser riski, kardiyovasküler problemler) yönelik düzenli değerlendirmeler ve gerekirse destekleyici tedaviler yapılmalıdır. Hastanın psikolojik ve sosyal iyileşmesine de destek olmak için psikolojik danışmanlık, sosyal hizmetler ve rehabilitasyon programları gibi kaynaklardan yararlanılabilir. Ewing Sarkomdan iyileşen her bireyin takip planı onların özel ihtiyaçlarına göre özelleştirilmelidir ve bu süreçte multidisipliner bir yaklaşım benimsenmelidir.
